Agilent Dako

HercepTest™ mAb pharmDx for Dako Omnis

100% Pass Rate—Every Time

Page Title | Agilent

Strong NordiQC performance

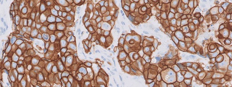
Since its launch in 2020, HercepTest™ mAb pharmDx (Dako Omnis) has participated in every bi-annual breast cancer assessment module that NordiQC has conducted. This external quality assessment scheme has repeatedly shown that HER2 assessments can be confidently performed on Dako Omnis with the HercepTest™ mAb pharmDx assay. In each assessment run, since module B30 (2020), HercepTest™ GE001 for Dako Omnis has provided the highest pass rate of 100% sufficient results when using vendor recommended protocol.

Explore results

NordiQC breast cancer modules

Nordic Immunohistochemical Quality Control (NordiQC) is an accredited international proficiency program for immunohistochemistry (IHC). More than 400 pathology laboratories are registered in the breast module and twice a year these laboratories participate in the program. IHC staining for HER2 is a standard in NordiQC’s breast module, where HercepTest™ mAb pharmDx (Dako Omnis) is being used by more and more laboratories.

Explore now

What’s in the box

  • Reagents for HER2 IHC staining of 50 tests
  • A new monoclonal rabbit antibody, a new assay-specific visualization reagent, and 10 control cell slides with four control cell lines, including a new cell line with 2+ HER2 staining intensity
  • EnVision FLEX Peroxidase Blocking Reagent, Target Retrieval Solution, Low pH, DAB+ Chromogen, and Substrate Buffer. These components may also be substituted with similar EnVision FLEX reagents.
Learn more

Contact us

Do you have questions? Would you like to learn more? Contact us and we will follow up with you.

Contact us

For in vitro diagnostic (IVD) use.

Disclaimer: Please note that HercepTest™ mAb pharmDx (Dako Omnis) is not available in all countries. Contact us to hear about availability in your country.

D0036789_01

Contact us

Your Personal Data

* This field is required
For full details of how we will treat your information please view our privacy policy: www.agilent.com/home/privacy-policy